Hofgartenklinik
Hofgartenstraße 6 63739 Aschaffenburg +49 (0)6021 303-303 info.hof@bergmanclinics.de Mehr Informationen
Zurück zur:
Ein Hallux valgus (auch Ballenzehe oder Schiefzehe) bezeichnet eine Fußfehlstellung, bei der die Großzehe (der Hallux) nicht mehr geradesteht, sondern nach außen zur zweiten Zehe abfällt. In schweren Fällen ist der Nagel der großen Zehe nach innen gedreht. Die Betroffenen leiden an Schmerzen im großen Zeh (Großzehenballen) und haben oft Schwierigkeiten beim Gehen.
Ein Hallux valgus (Ballenzeh) entsteht häufig in Verbindung mit einem Knick-, Senk- oder Spreizfuß. Die genauen Ursachen sind nicht vollständig geklärt, jedoch scheinen Vererbung und äußere Einflüsse eine wichtige Rolle zu spielen. Frauen sind häufiger betroffen als Männer.
Mögliche Ursachen:
Die Fehlstellung des großen Zehs führt je nach Schweregrad zu unterschiedlichen Beschwerden. Eine typische Begleiterscheinung ist die Ausbildung einer schmerzhaften Beule an der Fußinnenseite. Mit der Zeit kann der Vorfuß druckempfindlicher werden. In schweren Fällen können zusätzliche Fußprobleme auftreten, die das Gehen und den Alltag stark beeinträchtigen.
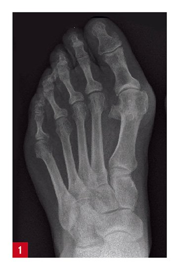
Nach einer Anamnese und einer gründlichen ersten Untersuchung wird eine Röntgenaufnahme des gesamten Fußes gemacht, anhand derer festgestellt werden kann, ob es sich bei Ihren Beschwerden um einen Hallux valgus handelt. Anschließend legen unsere Spezialisten in Absprache mit Ihnen die für Sie beste Behandlung fest.
Die Therapie des Hallux valgus kann konservativ oder operativ erfolgen und wird individuell nach einer gründlichen Untersuchung des Fußes mittels Blickdiagnose und Röntgenbild mit unseren Orthopäden besprochen.
Ein leichter Hallux valgus im Anfangsstadium kann oft ohne Operation behandelt und die Symptome gemildert werden. Zu den konservativen Maßnahmen zählen:
Der Fokus der konservativen Therapie liegt häufig darauf, den Druck zu reduzieren und die Schmerzen zu lindern, beispielsweise durch Schuhanpassungen und Polsterungen. Sollte der Hallux valgus jedoch fortgeschritten sein und starke Schmerzen oder Einschränkungen im Alltag verursachen, kann eine Operation notwendig sein.
Die chirurgische Korrektur umfasst verschiedene Techniken, abhängig von der Schwere des Befundes, dem Alter und dem Lebensstil des Patienten. Ziel ist es, den ersten Mittelfußknochen näher an den zweiten zu bringen und Fehlstellungen zu korrigieren. Zu den Operationstechniken gehören:
In besonderen Fällen kann zusätzlich eine Akin-Osteotomie durchgeführt werden. Dabei wird ein dreieckiges Knochenstück aus dem ersten Zehenglied entfernt, um die Zehe weiter zu begradigen. Die Wahl der Behandlungsmethode richtet sich nach den individuellen Bedürfnissen und Beschwerden des Patienten, um die bestmögliche Lebensqualität wiederherzustellen.
Sie sollten sich darauf einstellen, dass Sie sich nach einer Fußoperation eine Weile schonen müssen. Der genaue Verlauf Ihres Rehabilitationsprozesses hängt auch davon ab, welche Operationstechnik bei Ihnen angewendet wurde. Wurde eine Chevron- oder Scarfostomie durchgeführt hat, brauchen Sie nach dem Eingriff acht Wochen lang eine Krücke. Auch das Tragen von bequemen Joggingschuhen belastet den Vorfuß nur minimal.
Wurde Ihr Fuß durch die MTPI- oder TMTI-Arthrodese-Operation korrigiert, erhalten Sie wenige Stunden nach der Operation einen Unterschenkelgips. Nach etwa zwei Wochen bekommen Sie einen Gipsschuh, mit dem Sie den Fuß belasten können. Unabhängig von der Operationstechnik wird Ihnen nach der Fußoperation ein Schmerzmittel in Ihr Sprunggelenk injiziert. Ihr operierter Fuß wird außerdem gekühlt, um Schwellungen so weit wie möglich zu reduzieren. Außerdem wird Ihnen ein Rezept für starke Schmerzmittel gegeben, mit denen die Schmerzen nach der Operation erfahrungsgemäß oft gar nicht so schlimm sind.
Im Vorfeld klärt Sie Ihr Orthopäde ausführlich über die möglichen Komplikationen einer Hallux valgus Operation auf. Es ist zu beachten, dass Fußoperationen besondere Infektionsrisiken bergen.
Hofgartenstraße 6 63739 Aschaffenburg +49 (0)6021 303-303 info.hof@bergmanclinics.de Mehr Informationen
Welche Qualität wird in den Bergman Clinics angeboten?
Wir bieten medizinische Versorgung auf höchstem Niveau. Im Mittelpunkt stehen dabei 4 Werte:
Wie werden Kostenerstattung/Versicherung geregelt?
Die Kliniken der Bergman Clinics sind Vertragspartner aller gesetzlichen und privaten Krankenkassen und beihilfefähig.
